top of page


BLOG


PORTAL TREVOO - A Retina na Terceira Idade
Confira agora a entrevista que a Dra. Marina Roizenblatt deu ao Portal da Trevoo sobre “A Retina na Terceira Idade”. A população mundial...
Roizenblatt Médicos
22 de set. de 20213 min de leitura


Cor dos olhos: a sua digital
Você sabia que ninguém mais no mundo tem a mesma cor dos olhos que você? Embora você possa ter olhos parecidos com os dos seus pais ou...
Roizenblatt Médicos
17 de set. de 20211 min de leitura


Atenção: as ponteiras de laser podem trazer danos irreversíveis a sua visão!
Quanto maior for a potência da ponteira de laser, maior a probabilidade de ele causar lesões oculares graves se apontada diretamente para...
Roizenblatt Médicos
15 de set. de 20211 min de leitura


Mas doutora, isso é causado por estresse?
Essa é uma pergunta recorrente no consultório. De modo geral a resposta é “não”, costuma haver uma causa outra para a maioria das doenças...
Roizenblatt Médicos
10 de set. de 20211 min de leitura


RÁDIO GOLD MORNING - Aumento de casos de miopia durante a pandemia
Confira agora a entrevista que a Dra. Marina Roizenblatt deu a Rádio Gold Morning sobre: “Aumento de casos de miopia durante a pandemia”....
Roizenblatt Médicos
8 de set. de 20211 min de leitura


O fim do ano judaico
No dia 07/09 comemoramos o fim do ano judaico e o início de um novo ano, um novo ciclo. Desejamos a todos os nossos pacientes e a seus...
Roizenblatt Médicos
6 de set. de 20211 min de leitura


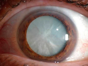
Quando é o momento de operar a catarata?
Muito bem, então vamos primeiro retornar à definição de “o que é catarata”. Catarata é a condição em que há perda de transparência do...
Roizenblatt Médicos
3 de set. de 20211 min de leitura


Pela Luz dos Olhos Teus
Quem nunca ouviu falar da música de Tom Jobim “Pela Luz dos Olhos Teus”? Lançada em 1977 em parceria com a cantora Miúcha, a composição...
Roizenblatt Médicos
1 de set. de 20211 min de leitura


RÁDIO CBN - Estudo aponta aumento de casos de miopia durante a pandemia
Confira agora a entrevista que a Dra. Marina Roizenblatt deu ao PodCast CBN Saúde e Bem Estar sobre “Estudo aponta aumento de casos de...
Roizenblatt Médicos
30 de ago. de 20211 min de leitura


Quatro Principais Causas de Deficiência Visual no Mundo
As vezes não nos damos conta de o quão importante é a visão no nosso dia a dia. Segundo dados da Academia Americana de Oftalmologia,...
Roizenblatt Médicos
27 de ago. de 20211 min de leitura


O que é a Retina?
Neste vídeo a Doutora Marina Roizenblatt explica o que é a retina, onde está localizada e qual a sua função em nossa visão. Confira!
Roizenblatt Médicos
24 de ago. de 20211 min de leitura


Alerta aos motoqueiros: andar com a viseira do capacete aberta pode trazer problemas para a sua visã
O primeiro ponto a ser esclarecido sobre o tema é: há uma lei que obriga a todos os motoqueiros a andarem com a viseira do capacete...
Roizenblatt Médicos
20 de ago. de 20211 min de leitura


Como fazer com que os seus óculos e a sua máscara convivam em harmonia?
Para você que usa óculos, sabe o quão irritante pode ser o fato de seus óculos embaçarem a cada respiro enquanto você está com a máscara....
Roizenblatt Médicos
18 de ago. de 20211 min de leitura


Conheça algumas das etapas de um exame oftalmológico completo
Um bom exame oftalmológico é formado de algumas etapas, saiba mais sobre cada uma delas: Refração: momento em que o oftalmologista checa...
Roizenblatt Médicos
12 de ago. de 20211 min de leitura


Doutora, que tipo de grau eu tenho?
No exame de óculos, existem basicamente 4 tipos de grau possíveis de serem prescritos: miopia, hipermetropia, astigmatismo e presbiopia....
Roizenblatt Médicos
11 de ago. de 20211 min de leitura


Inovação Tecnológica e Aplicação Industrial em Oftalmologia
No próximo sábado, a Dra. Marina Roizenblatt foi convidada para participar como palestrante do Simpósio de Inovação Tecnológica da...
Roizenblatt Médicos
9 de ago. de 20211 min de leitura


PORTAL METRÓPOLES - “Caveira” em mutação: tatuagem nos olhos pode causar perda de visão
Confira agora a entrevista que a Dra. Marina Roizenblatt deu ao portal Metrópoles sobre “Tatuagem nos Olhos”. Médica oftalmologista...
Roizenblatt Médicos
9 de ago. de 20212 min de leitura


Lista de dicas para proteger os seus olhos durante a pandemia de COVID – 19
Segue uma lista de dicas para manter os seus olhos seguros e saudáveis durante a pandemia de coronavírus. 1 - Tente usar mais óculos e...
Roizenblatt Médicos
6 de ago. de 20212 min de leitura


Meu olho está vermelho, o que eu faço?
A ideia principal que quero deixar neste post é a seguinte: são múltiplos os motivos que podem estar fazendo com que o seu olho esteja...
Roizenblatt Médicos
4 de ago. de 20212 min de leitura


Curiosidades sobre a Cirurgia de Retina
Como funciona a cirurgia de retina? Em linhas gerais, há 3 técnicas principais para realização de uma cirurgia de retina. O cirurgião...
Roizenblatt Médicos
30 de jul. de 20212 min de leitura


Curiosidades sobre a Cirurgia de Catarata
O que é a catarata? Catarata é a condição em que há perda de transparência do cristalino, lente ocular situada atrás da íris. A catarata...
Roizenblatt Médicos
28 de jul. de 20211 min de leitura
bottom of page



